Claviculafraktur – Der Schlüsselbeinbruch: wenn der Knochen bricht
Ein Bruch des Schlüsselbeins (medizinisch Claviculafraktur) ist eine häufige Verletzung, die meist nach einem Sturz auf die Schulter oder den ausgestreckten Arm auftritt. Besonders Kinder, Jugendliche und sportlich aktive Erwachsene sind betroffen – häufig ereignen sich diese Frakturen nach Sportunfällen wie Ski- oder Radstürzen. Bereits klinisch finden sich Anzeichen wie Schmerzen, Schwellung/ Fehlstellung im Frakturbereich und eine schmerzbedingte Bewegungseinschränkungen des Armes, die einen Bruch vermuten lassen.
Diagnose
Die Diagnose wird durch eine körperliche Untersuchung und eine Röntgenaufnahme des Schlüsselbeins in 2 Ebenen gestellt. So kann festgestellt werden, ob der Bruch verschoben ist und welche Therapie am besten geeignet ist.
Behandlungsmöglichkeiten
Grundsätzlich gibt es zwei Wege, eine Claviculafraktur zu behandeln: konservativ (ohne Operation) oder operativ (mit Operation).
Welche Methode gewählt wird, hängt von der Art des Bruchs, dem Ausmaß der Verschiebung der Bruchenden und den individuellen Bedürfnissen der Patientin oder des Patienten (Sportler!) ab.
Konservative Therapie (ohne Operation)
Leicht verschobene oder stabile Brüche können in den meisten Fällen ohne Operation heilen. Allerdings muss der Arm in dieser Zeit für eine gewisse Zeit ruhiggestellt werden, damit der Knochen auch gut verheilen kann, d.h.
- Ruhigstellung mit einer Armschlinge für etwa 3–4 Wochen
- Schmerztherapie und Schonung
- Anschließend schrittweise Mobilisierung und Physiotherapie zur Wiederherstellung der Beweglichkeit
Die Heilungszeit eines Knochenbruchs beträgt in der Regel 6–8 Wochen- wobei auch hier noch keine Spitzenbelastungen erfolgen sollten.
Operative Therapie (mit sog. Osteosynthese)
Eine Operation wird empfohlen, wenn der Bruch stark verschoben ist, Knochenfragmente drohen, die Haut zu durchstoßen, oder wenn eine stabile Heilung auf anderem Weg nicht möglich ist. Auch wenn sog. mehrfragmentäre Frakturen vorliegen, d.h. mehrere Knochenteile im Frakturbereich vorliegen, sollte eine operative Versorgung erwogen werden, um den Bruch wieder anatomisch zu rekonstruieren.
- Dabei wird das Schlüsselbein mit einer winkelstabilen Platte und Schrauben oder seltener mit einem Marknagel stabilisiert. Der Marknagel ist dabei eine sehr elegante Technik, da dieser im Markraum des Schlüsselbeins eingebracht wird uns so die Fraktur von innen schient. Der Marknagel kann dabei über sehr kleine Inzisionen eingebracht werden – jedoch ist er für komplexe und stark verschobene Frakturen nicht geeignet. Hier wird die Fraktur offen eingerichtet und über eine winkelstabile Platte stabilisiert.
- Nach der Operation beginnt frühzeitig eine kontrollierte Bewegungstherapie, um die Schulterfunktion rasch wiederherzustellen.
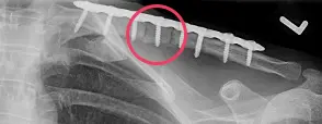
- Der Marknagel kann – je nach knöcherner Heilung – nach frühestens 3 Monaten wieder entfernt werden. Die Platten, welche doch oftmals etwas auftragen und stören, werden in aller Regel frühestens nach einem Jahr entfernt. Eine zu frühe Metallentfernung birgt das Risiko einer Re-Fraktur (siehe Abbildung), d.h. eines erneuten Schlüsselbeinbruchs.
Heilungsaussichten
In den allermeisten Fällen heilt ein Schlüsselbeinbruch komplikationslos aus. Ziel jeder Behandlung ist es, die Schulterfunktion und Kraft vollständig zurückzugewinnen und Folgeschäden wie Fehlstellungen oder chronische Schmerzen zu vermeiden.



Abbildung: Zweite Episode einer Re-Fraktur bei einer jungen Patientin. Daher Revision mit langer Platte und zudem Einsetzen eines Beckenkammspans (rot markiert) post-OP und das Ausheilungsergebnis 1 Jahr nach der OP
