Impingement-Syndrom der Schulter – wenn der Platz unter dem Schulterdach zu eng wird
Definition
Das Schulter-Impingement-Syndrom bezeichnet eine Einklemmung (Engpasssyndrom) von Sehnen und Schleimbeuteln im Schultergelenk, meist zwischen dem Oberarmkopf (Humeruskopf) und dem Schulterdach (Acromion). Entsprechend der anatomischen Gegebenheiten ist insbesondere die Supraspinatussehne durch die Enge beeinträchtigt und kann über einen längeren Zeitraum Schaden nehmen. Klinisch zeigt sich das Impingement durch Schmerzen und Bewegungseinschränkungen – insbesondere bei der Seithebung des Armes.
Ursachen
- Anatomische Enge (z. B. hakenförmiges Acromion, Knochensporne, die den Subacromialraum einengen, Kalkschulter, welche durch die Entzündung des Gewebes zu einer rel. Enge führen)
- Funktionelle Ursachen wie muskuläre Dysbalance, Fehlhaltung oder Instabilität
- Überlastung durch wiederholte Überkopfbewegungen (z. B. bei Sportlern oder Handwerkern)

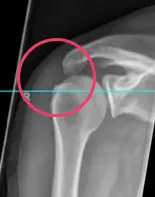
Abbildung: Subacromiales Impingement durch knöchernen Sporn
Symptome
- Schulterschmerzen, besonders beim Heben des Arms über die Horizontale, typisch ist der sog. Painful arc, d.h. beim Seitwärtsheben des Armes kommt es bei ca. 60° zu Schmerzen, die bis ca. 120° in der Seitwärtshebung andauern – sobald der Arm ganz nach oben gestreckt ist, sind die Schmerzen meist gebessert.
- Nachtschmerzen beim Liegen auf der betroffenen Seite – viele Patienten berichten von einer gestörten Nachtruhe.
- Eingeschränkte Beweglichkeit und Kraftverlust- in aller Regel schmerzbedingt und nicht durch einen Riss in den Sehnen bedingt.
Diagnose
- Klinische Untersuchung (z. B. Neer-, Hawkins-Test, zudem Painful-arc)
- Bildgebung: Ultraschall, Röntgen (Knochenveränderungen), MRT (zum Ausschluss von Sehnenschäden)

Abbildung: Ausgeprägte Bursitis (weiße Fläche) bei chronischem Impingement- Syndrom in der Magnetresonanztherapie
Therapie
Konservativ
- Schonung, Physiotherapie (Kräftigung der Rotatorenmanschette und Durchführung von sog. Oberamkopf-zentrierenden Übungen, Haltungstraining, v.a. für Patienten, die viel am PC Arbeiten ist eine Aufrichtung des Oberkörpers und ein „Zurücknehmen“ der Schulterblätter wichtig)
- Entzündungshemmende Medikamente (NSAR, wie Ibuprofen/ Diclofenac etc.)
- Injektionen (Kortison nur im Notfall und nach strenger Indikationsstellung, ggf. Infiltration mit Plättchen-reichem Plasma, PRP)
Operativ (bei Therapieversagen)
- Arthroskopische subakromiale Dekompression (Abtragung von Engpassursachen und in gleicher Sitzung ggf. auch Versorgung von Rissen im Bereich der Rotatorenmanschette). Eine operative Therapie sollte immer dann in Erwägung gezogen werden, wenn die konservative Therapie scheitert und sich auch nach mehreren Monaten konsequenter Therapie keine Befundbesserung zeigt.
Prognose
Bei frühzeitiger und gezielter Behandlung meist gute Heilungschancen unter konsequenter konservativer Therapie. Unbehandelt kann es zu chronischen Schmerzen oder Sehnenschäden (Rotatorenmanschettenruptur) kommen.
