Typische Skiverletzungen der oberen Extremität, weil „Schifoan is des Leiwandste…“
Schulter, Oberarm und Schlüsselbein im Fokus
Frischer Pulverschnee, klare Bergluft und endlose Abfahrten – Skifahren ist mehr als ein Sport, es ist ein Gefühl. Raus aus dem Alltag, rauf auf die Piste.
Doch dieses Abenteuer kann manchmal sehr abrupt enden. Während die meisten bei Skiverletzungen an die Kreuzbandruptur denken, sind Verletzungen der oberen Extremität gar nicht so selten und machen bei Skifahren ca. 30% der Verletzungen aus, bei Snowboardern liegt die Zahl mit ca. 50% sogar noch höher.
Der Grund ist, dass bei Stürzen Schulter und Arm reflexartig eingesetzt werden, um den Aufprall abzufangen. Die Folge sind häufig Schulterverletzungen, Oberarmkopfbrüche oder Schlüsselbeinfrakturen.
In der Praxis Schulterzentrum-Sporttraumatologie von Prof. Sandmann sind wir auf die Diagnostik und Behandlung von Schulter- und Armverletzungen spezialisiert und betreuen jedes Jahr zahlreiche Patientinnen und Patienten nach Skiunfällen.
Schulterverletzungen beim Skifahren – häufige Ursache für Schmerzen
Die Schulter ist das beweglichste Gelenk des Körpers und daher besonders anfällig für Verletzungen bei Stürzen auf den ausgestreckten oder verdrehten Arm.
Häufige Schulterverletzungen beim Skisport
Schulterluxation (Schulterausrenkung)
Besonders bei jüngeren, sportlich aktiven Skifahrern. Unbehandelt drohen chronische Instabilität und Folgeschäden.

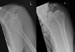
Abbildung: Typisches Röntgenbild einer ausgekugelten Schulter vor (links) und nach Reposition (rechts).
Rotatorenmanschettenriss
Vor allem bei älteren Skifahrern oder nach schweren Stürzen. Typisch sind Schmerzen, Kraftverlust und eingeschränkte Beweglichkeit.
AC-Gelenksprengung (Schultereckgelenk)
Meist durch direkten Sturz auf die Schulter verursacht.

Abbildung: Schultereckgelenksprengung links, Typ Rockwood V mit Versatz des Schlüsselbeins um mehr als Schaftbreite

Abbildung: Intra-operative Röntgenkontrolle (links) und das arthroskopische Bild mit dem sog. DogBone Plättchen unterhalb des Rabenschnabelfortsatzes
Therapie
Je nach Verletzungsschwere, Alter und sportlichen Ansprüchen kommen konservative Behandlungsverfahren oder minimalinvasive arthroskopische Operationen zum Einsatz.
Oberarmkopfbruch – typische Verletzung nach Sturz auf die Schulter
Der Oberarmkopfbruch (proximale Humerusfraktur) ist eine der häufigsten knöchernen Verletzungen der Schulterregion beim Skifahren.
Typische Ursachen
- Sturz auf die Schulter
- Sturz auf den ausgestreckten Arm
- Höhere Sturzenergie, vereister Untergrund
Symptome
- starke Schulterschmerzen
- Bewegungseinschränkung
- Schwellung und Bluterguss
Therapie
Viele Oberarmkopfbrüche können konservativ behandelt werden. Bei komplexen Brüchen, deutlicher Fehlstellung oder hohem funktionellen Anspruch ist eine operative Versorgung mit modernen, gelenkerhaltenden Verfahren sinnvoll. Ziel ist stets die Wiederherstellung der Schulterfunktion.

Abbildung: Versorgung einer 3-Part-Fraktur des Oberarmkopfes mittels winkelstabiler Platte.
Schlüsselbeinfraktur – klassischer Skiunfall
Die Schlüsselbeinfraktur zählt zu den klassischen Verletzungen bei Ski- und Snowboardunfällen.
- Häufig bei Sturz auf Schulter oder Arm
- Deutliche Schmerzen und Bewegungseinschränkung
- Sichtbare Fehlstellung möglich
Therapie
Während viele Brüche konservativ ausheilen, kann bei instabilen Frakturen oder sportlich aktiven Patientinnen und Patienten eine operative Stabilisierung Vorteile bieten.
Ellenbogenverletzungen – funktionell anspruchsvoll
Auch der Ellenbogen kann beim Skifahren verletzt werden, etwa durch:
- Ellenbogenluxationen
- Radiusköpfchenfrakturen
- Bandverletzungen
Eine präzise Diagnostik ist entscheidend, da Bewegungseinschränkungen sonst dauerhaft bestehen bleiben können.
Warum eine spezialisierte Behandlung entscheidend ist
Verletzungen der oberen Extremität betreffen häufig nicht nur den Knochen, sondern auch Sehnen, Bänder und Gelenkstabilität. Eine frühzeitige fachärztliche Abklärung ist entscheidend, um chronische Schmerzen, Bewegungseinschränkungen oder Instabilitäten zu vermeiden.
In unserer Praxis Schulterzentrum-Sporttraumatologie von Prof. Sandmann bieten wir:
- spezialisierte Schulter- und Ellenbogendiagnostik
- moderne Bildgebung (Ultraschall, MRT, CT)
- minimalinvasive arthroskopische Operationen
- individuelle Therapie- und Rehabilitationskonzepte
- sportartspezifische Nachbehandlung
Fazit: Nach Skiunfall frühzeitig abklären lassen
Schulter- und Oberarmverletzungen nach Skiunfällen sind häufig – bei frühzeitiger und spezialisierter Behandlung jedoch in den meisten Fällen sehr gut therapierbar.
Anhaltende Schmerzen, Kraftverlust oder Bewegungseinschränkungen sollten nicht unterschätzt werden.
Vereinbaren Sie jetzt einen Termin im Schulterzentrum Prof. Sandmann
Lassen Sie Ihre Schulterverletzung nach einem Skiunfall frühzeitig von einem Spezialisten abklären – für eine sichere Rückkehr in Alltag, Beruf und Sport.
Jetzt Termin vereinbaren
Schulterzentrum Prof. Sandmann
Törringstraße 6
81675 München
Tel.: 089 9545381-0 oder unter www.doctolib.de
